Petni trn: Kako se nositi s bolovima i povećati kvalitet života
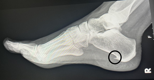
Petni trn predstavlja jedan od najčešćih i najneugodnijih problema stopala koji može značajno uticati na svakodnevni život. Ova bolest, koja se medicinski naziva plantarni fasciitis, karakterizirana je pojavom boli u području pete uzrokovane upalom plantarne fascije. Simptomi koji se javljaju kod ove tegobe često su toliko izraženi da obične aktivnosti, poput ustajanja iz kreveta ili hodanja, postaju pravi izazov. Bolovi se obično javljaju ujutro ili nakon dužeg sjedenja, a obično su praćeni osjećajem nelagode tokom dana. Iako fizički ne predstavlja ozbiljnu prijetnju zdravlju, njegov uticaj na kvalitet života je neosporan.
Mnogi ljudi se pitaju: „Može li se petni trn eliminirati bez operacije?” Iako je operacija jedini način da se trajno ukloni koštani izraslina, dobra vijest je da postoje mnoge neinvazivne metode koje mogu značajno smanjiti simptome. Ovo je posebno važno jer je u većini slučajeva moguće postići poboljšanje uz pravilne vježbe, promjene u životnom stilu i korištenje određenih terapijskih metoda. Glavni cilj svih ovih tretmana je smanjenje upale, opuštanje napetih tkiva i smanjenje pritiska na petu, što rezultira smanjenjem boli. U ovom članku, istražujemo različite metode koje mogu pomoći u ublažavanju simptoma i poboljšanju kvaliteta života.
Efikasne metode za ublažavanje bolova uzrokovanih petnim trnom
🔹 Vježbe istezanja i jačanja su među najučinkovitijim tehnikama za ublažavanje simptoma petnog trna. Redovno istezanje Ahilove tetive i plantarne fascije može značajno smanjiti napetost u ovim područjima. Vježbe poput rolanja stopala po loptići, podizanja na prste, kao i istezanja nožnih prstiju poboljšavaju fleksibilnost i smanjuju bol, posebno u jutarnjim satima kada se problemi najčešće javljaju. Na primjer, jednostavna vježba istezanja može uključivati sjedenje na podu s ispruženim nogama, a zatim pokušaj dohvatiti nožne prste. Ova vježba pomaže u opuštanju mišića i ligamenata u stopalu.
🔹 Protuupalni lijekovi poput ibuprofena ili naproksena mogu pružiti privremeno olakšanje od bolova, ali je važno napomenuti da ovi lijekovi ne rješavaju uzrok problema. Oni smanjuju simptome, ali se ne preporučuju za dugotrajnu upotrebu zbog mogućih nuspojava. Uvijek je najbolje posavjetovati se s ljekarom prije nego što počnete koristiti bilo kakve lijekove, posebno ako imate postojeće zdravstvene probleme ili uzimate druge lijekove.

🔹 Anatomska obuća i ortopedski ulošci predstavljaju još jedan ključni faktor u borbi protiv petnog trna. Pravilno odabrana obuća koja pruža dobru podršku i amortizaciju može značajno smanjiti pritisak na petu. Na primjer, obuća koja ima čvrst prednji deo i jastučiće u području pete može pomoći u pravilnoj raspodjeli težine. Za one koji često nose neprikladnu obuću, ortopedski ulošci mogu biti vrlo korisni za raspodjelu težine i smanjenje nelagode. Ortopedski ulošci se mogu prilagoditi prema potrebama pojedinca, a njihova upotreba često rezultira velikim poboljšanjima u svakodnevnom životu.
🔹 Noćne udlage se često koriste kako bi stopalo ostalo u ispravnom položaju tokom noći, što može pomoći u smanjenju jutarnjih bolova. Ove udlage drže stopalo pod pravim kutom, čime sprečavaju skraćivanje fascije tokom sna. Mnogi korisnici primjećuju značajno poboljšanje sa ovim uređajem. Upotreba noćnih udlaga može biti posebno korisna za one koji se bore sa hroničnim bolovima, jer pomaže u istezanju fascije tokom noći i može smanjiti učestalost bolova ujutro.
Alternativne terapije i dodatni savjeti
Jedan od alternativnih pristupa je led terapija (krioterapija), koja se koristi za smanjenje upale i trenutnu relaksaciju bolnog područja. Primjena leda nakon dužeg stajanja ili hodanja može biti veoma korisna. Također, terapija udarnim valom pokazuje obećavajuće rezultate kod pacijenata koji pate od hroničnih bolova vezanih za petni trn, poboljšavajući cirkulaciju i regeneraciju tkiva. Ova terapija koristi zvučne valove za stimulaciju i regeneraciju oštećenih tkiva, što može dovesti do smanjenja boli i poboljšanja funkcije stopala.
Osim ovih metoda, postoje i kortikosteroidne injekcije koje se primjenjuju u slučajevima jakih bolova kada druge metode ne pomažu. Iako su efikasne u smanjenju upale, ne preporučuju se kao dugoročno rješenje zbog potencijalnih nuspojava. Ove injekcije mogu olakšati bol u kratkom roku, ali ne rješavaju osnovni problem, pa je važno kombinovati ih s drugim terapijama.

Ubrzanje oporavka također može uključivati smještanje težine i pravilno planiranje aktivnosti. Osobe s viškom kilograma trebaju raditi na smanjenju težine kako bi smanjile pritisak na petu. Na primjer, promjena ishrane, kao i povećanje fizičke aktivnosti, mogu značajno doprinijeti smanjenju težine. Sportaši bi trebali prilagoditi intenzitet treninga i osigurati dovoljno vremena za odmaranje. Također, osobe koje često stoje ili su na nogama trebaju redovno odmarati stopala i podizati ih na povišenje. Ove male promjene mogu imati veliki uticaj na smanjenje simptoma.
Iako petni trn može biti iscrpljujući problem, većina pacijenata može postići oporavak bez operacije. Uz pravilnu disciplinu, odgovarajuće vježbe i promjene u svakodnevnim navikama, moguće je ponovo uživati u životu bez straha od boli pri svakom koraku. Oporavak zahtijeva vrijeme i upornost, ali postepeno, korak po korak, može se doći do željenih rezultata. Uključivanje profesionalnih fizioterapeuta ili stručnjaka za rehabilitaciju može dodatno ubrzati proces oporavka.
Zapamtite, svaki korak bez boli predstavlja važnu pobjedu u borbi protiv petnog trna. Ne zaboravite da posvetite pažnju svojim stopalima. Kada im pružite potrebnu njegu, ona vam uzvraćaju bezbolnim i sigurnim hodom. Ne dozvolite da vas bol zaustavi – vaša stopala su ključna za uživanje u svim aspektima života, od svakodnevnih obaveza do radosnih trenutaka s porodicom. Njega stopala ne bi trebala biti samo povremena aktivnost, već svakodnevna rutina koja uključuje masažu, kupke i vježbe jačanja.
Posvetite se sebi i uložite nekoliko minuta dnevno u vježbe i njegu stopala. Budite uporni, jer vaše tijelo ima sposobnost oporavka i čeka da mu pomognete. Započnite proces ozdravljenja danas i ne odustajte, jer vaša stopala zaslužuju pažnju i njegu koju im pružite. Uključite prijatelje ili članove porodice u svoju rutinu, kako biste zajedno radili na poboljšanju zdravlja svojih stopala, što može dodatno motivirati i učiniti proces zabavnijim.



















